|
Manos |
Πέμπτη, 22 Δεκεμβρίου 2011 |
|
|
|
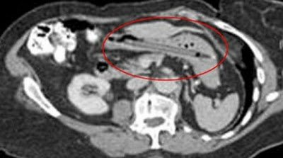
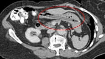
Είχε 25 χρόνια στο έντερο της ένα στυλό!!
Μπορεί να ακούγεται απίστευτο και όμως είναι πραγματικότητα! Ύστερα από μια εξέταση που έκανε, οι γιατροί διαπίστωσαν ότι υπήρχε στο παχύ έντερό της ένα μακρύ αντικείμενο, το οποίο της δημιούργησε φλεγμονή. Όταν ρωτήθηκε τι είχε συμβεί, εκείνη απάντησε ότι είχε χρησιμοποιήσει το στυλό για να σπρώξει τις αμυγδαλές της και εκείνο γλίστρησε! Φυσικά αμέσως υποβλήθηκε σε χειρουργείο να την αφαίρεση του στυλό από την γυναίκα. Το ακόμη πιο απίστευτο σε αυτή την ιστορία είναι ότι το στυλό εξακολουθούσε να …γράφει!
ΠΗΓΗ : periergaa.blogspot.com
|
|
|
 | Ανάγνωση… |
  
 | Ανάγνωση… |
|