|
Manos Manos |
Κυριακή, 28 Απριλίου 2013 |
|
|
|
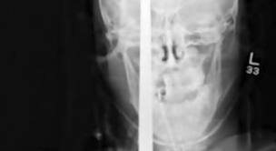
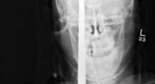
Καμάκι διαπέρασε το κρανίο του και τη… γλίτωσε!
Φτηνά τη γλίτωσε ένας Βραζιλιάνος που μεταφέρθηκε στο νοσοκομείο με ένα καμάκι να έχει διαπεράσει το κρανίο του! Ο Μπρούνο Κουτίνιο καθάριζε το ψαροντούφεκό του στο σπίτι του, όταν άθελά του πάτησε τη σκανδάλη. Το μήκους 15 εκ. καμάκι διαπέρασε το αριστερό του μάτι και το κρανίο του. Οι γιατροί χρειάστηκαν τέσσερις ώρες για να αφαιρέσουν το μεταλλικό αντικείμενο, αφού η κατάστασή του απαιτούσε διπλή επέμβαση, με τον ασθενή να έχει το αντικείμενο για δέκα ώρες στο κεφάλι του. 
Σύμφωνα με τον επικεφαλής της νευροχειρουργικής κλινικής του νοσοκομείου, το καμάκι απείχε μόλις χιλιοστά από την βασική αρτηρία στο κεφάλι του άτυχου άνδρα. Ο Βραζιλιάνος στάθηκε τυχερός καθώς δεν έπαθε εγκεφαλική βλάβη, αν και έχασε την όραση από το αριστερό του μάτι. Παρόλα αυτά, αναμένεται να πάρει εξιτήριο τις επόμενες ημέρες.
|
|
|
 | Ανάγνωση… |
  
 | Ανάγνωση… |
|