20/03/2026
         
Manos Manos Κυριακή, 1 Σεπτεμβρίου 2013
Περίεργα   Κόσμος
+ + -

ΑΠΙΣΤΕΥΤΟ – Επέζησε, έχοντας καρφωμένο στο κεφάλι ένα μεταλλικό πόδι από σκαμπό

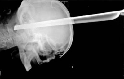
 Ένας Σέρβος, ο οποίος ενεπλάκη σε καυγά μέσα σε νυχτερινό μαγαζί, μεταφέρθηκε στο νοσοκομείο, έχοντας σφηνωμένο μέσα στο κεφάλι του ένα μεταλλικό πόδι από σκαμπό. Οι γιατροί που αντιμετώπισαν τον σοβαρό τραυματισμό του 43χρονου άνδρα, έμειναν έκπληκτοι βλέποντας τον να αναρρώνει τόσο γρήγορα.

Το μεταλλικό αντικείμενο είχε εισχωρήσει 11 εκατοστά, στο εσωτερικό του κρανίου του, κάνοντας τους περισσότερους γιατρούς να πιστεύουν πως ο τραυματίας δεν θα κατάφερνε να κρατηθεί στη ζωή.

Η αστυνομία εικάζει πως κάποιος θαμώνας του μπαρ τραυμάτισε με το πόδι του σκαμπό, τον 43χρονο, κατά τη διάρκεια συμπλοκής. Αν και έχει διαφύγει τον κίνδυνο, ο τραυματίας δεν έχει καταφέρει ακόμη να μιλήσει στους αστυνομικούς και να υποδείξει τον δράστη.

“Υπάρχουν στιγμές που ακόμη και οι πιο έμπειροι γιατροί μένουν έκπληκτοι από την φύση των τραυμάτων”, δήλωσε ένας από τους θεράποντες γιατρούς του περιφερειακού νοσοκομείου Krasnoyarsk.

Ο νευροχειρούργος δρ Πάβελ Ρουντένκο, ο οποίος ηγήθηκε της πολύωρης επέμβασης, αφαίρεσης του αντικειμένου, σημείωσε: “Αφαιρέσαμε το μεταλλικό σώμα από το κεφάλι του ασθενή, χωρίς να προκληθούν επιπλοκές ή άλλες σοβαρές βλάβες”.

Ο άτυχος και ταυτόχρονα τυχερός Σέρβος έμεινε δύο εβδομάδες σε μονάδα εντατικής θεραπείας. Σήμερα καταφέρνει να κινεί τα χέρια του μόνος του, όμως δυσκολεύεται στην ομιλία.
 
 
 
 
tsantiri

 

 
 
 
 
  Αρχική | Ενότητες | Top Αναρτήσεις | Επικοινωνία  
 
Περίεργα      Υγεία
 
Life Style      Κόσμος
 
Τοπικά