|
Manos Manos |
Πέμπτη, 25 Σεπτεμβρίου 2014 |
|
|
|
Έφαγε σούσι και γέμισε σκουλίκια!!
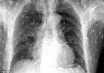
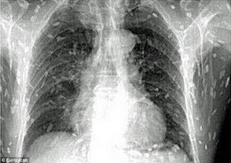
Είναι το πιο ακριβό και κατά πολλούς το πιο νόστιμο σημείο του σούσι. Ωστόσο η αγάπη ενός άνδρα για το σασίμι παραλίγο να αποβεί μοιραία, αφού εξέθεσε το σώμα του σε...σκουλήκια. Συγκεκριμένα, σύμφωνα με τη Daily Mail, ένας άνδρας επισκέφθηκε τον γιατρό του στην επαρχία Guangdong της ανατολικής Κίνας, έπειτα από στομαχικούς πόνους κι έντονη φαγούρα. Προς μεγάλη του έκπληξη ανακάλυψε ότι στις ακτινογραφίες στις οποίες είχε υποβληθεί, διακρίνονταν εκατοντάδες σκουλήκια να «αλωνίζουν» στο έντερό του και σε άλλα ζωτικά όργανα. Αιτία, σύμφωνα με τους γιατρούς, δεν είναι άλλη από την κατανάλωση χαλασμένου ωμού ψαριού. Ο ασθενής εισήχθη στο νοσοκομείο για θεραπεία. Την ίδια ώρα, έρευνες έχουν δείξει ότι η ολοένα αυξανόμενη προτίμηση σε παγκόσμιο επίπεδο των καταναλωτών στο σούσι, έχει προκαλέσει και την αύξηση των κρουσμάτων σοβαρής δηλητηρίασης και άλλων παρασιτικών μολύνσεων. Συνήθως, εκείνοι που προσβάλλονται συχνότερα είναι οι καταναλωτές που προτιμούν τον ωμό σολομό. 


 iefimerida
|
|
|
 | Ανάγνωση… |
  
 | Ανάγνωση… |
|