16/03/2026
         
Manos Manos Παρασκευή, 21 Νοεμβρίου 2014
Περίεργα
+ + -

Σπάνια περίπτωση γέννησης τριδύμων με κοινό πλακούντα!

Σε πελάγη ευτυχίας πλέει μια οικογένεια από το Ηράκλειο, καθώς γεννήθηκαν απολύτως υγιή τρίδυμα αγοράκια που τρέφονταν από τον ίδιο πλακούντα.

Είναι μία από τις 100.000 περιπτώσεις τρίδυμης κύησης τέτοιου είδους σε ολόκληρο τον κόσμο. Έτσι η οικογένεια σήμερα έχει συνολικά 4 αγοράκια – αφού υπάρχει στην οικογένεια μεγαλύτερο παιδάκι που γεννήθηκε με φυσιολογικό τοκετό πριν μερικά χρόνια.

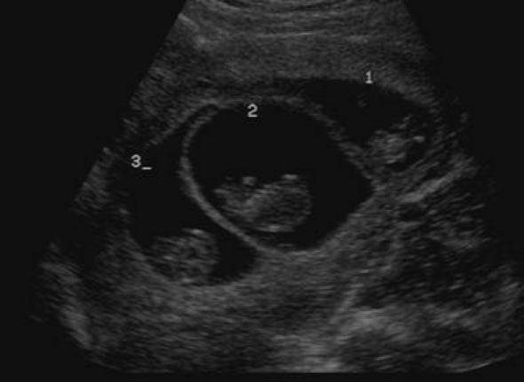
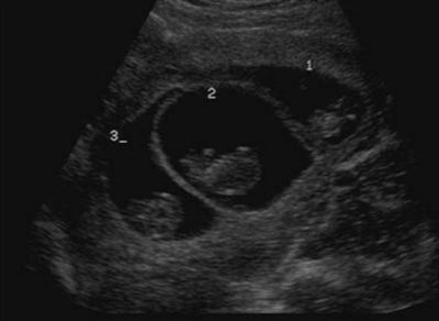
Σήμερα τα ξημερώματα, η 33χρονη γυναίκα, έφερε στον κόσμο τα τρία υγιέστατα αγοράκια, βάρους 1200 ως 1400 γραμμαρίων. Τον τελευταίο χρονικό διάστημα η έγκυος  νοσηλευόταν στο Πανεπιστημιακό Νοσοκομείο Ηρακλείου στη Μαιευτική- Γυναικολογική Κλινική. Τα έμβρυα βρίσκονταν σε τρεις σάκους αλλά τρέφονταν από τον ίδιο πλακούντα. Μια περίπτωση σπάνια, για την οποία υπήρχε πάντα ο κίνδυνος της επιπλοκής, μιας και σε τέτοιες εγκυμοσύνες είναι πιθανή η «υποκλοπή αίματος» του ενός εμβρύου από τα άλλα.

Σύμφωνα με τον μαιευτήρα κ. Σταύρο Σηφάκη, που είχε την ευθύνη της υπερηχογραφικής παρακολούθησης των εμβρύων και με την εμπειρία του συνέβαλε στην ομαλή εξέλιξη της εγκυμοσύνης και στην έγκαιρη αναγνώριση της τυχόν εμφάνισης του επικίνδυνου «συνδρόμου της υποκλοπής», αυτή η περίπτωση είναι εξαιρετικά σπάνια και συμβαίνει μία φορά στις 100.000 κυήσεις.

Τα μωράκια γεννήθηκαν πρόωρα μεν σε καλή κατάσταση δε. Όπως εξηγεί ο κ. Σηφάκης, μιλωντας αποκλειστικά στο CretePlus.gr: «η περίπτωση αυτή είναι πολύ σπάνια, καθώς τα μωρά τρέφονταν και αναπτύσσονταν από τον ίδιο πλακούντα. Πρόκειται για μονοζυγωτική, μονοχοριακή, τριαμνιακή κύηση.

Υπήρχε συνεχώς ο κίνδυνος της υποκλοπής αίματος εμβρύου από έμβρυο. Δηλαδή μπορούσε να υπάρξει άνιση παροχή του αίματος από τον πλακούντα στα τρία διαφορετικά έμβρυα, με αποτέλεσμα το ένα μωρό να γίνεται παθολογικά μεγάλο και το άλλο (ή τα άλλα δύο) να εκδηλώσει σοβαρή υπολειπόμενη ανάπτυξη, με συνολικά κακή έκβαση της κύησης»

Σήμερα λοιπόν τα μεσάνυχτα, το ιατρικό επιτελείο που παρακολουθούσε την εγκυμονούσα προχώρησε σε καισαρική για να έρθουν στον κόσμο τα μωράκια, παρά το γεγονός πως η εγκυμοσύνη ήταν στην 30η εβδομάδα. Είχε προηγηθεί αυτόματη ρήξη των υμένων στον ένα από τους τρείς σάκους και αναπόφευκτα ακολούθησαν πρόωρες συστολές μήτρας.

Στην επέμβαση συμμετείχε ο γυναικολόγος κ. Δημήτρης Κουτρουλάκης, ο οποίος είναι ο θεράπων γιατρός που παρακολουθούσε την 33χρονη, καθώς και ο κ. Ρελάκης Διευθυντής της Μαιευτικής- Γυναικολογικής Κλινικής του ΠΑΓΝΗ.

 
 
creteplus

 

 
 
 
 
  Αρχική | Ενότητες | Top Αναρτήσεις | Επικοινωνία  
 
Περίεργα      Υγεία
 
Life Style      Κόσμος
 
Τοπικά