Τέσσερα χρόνια χρειάστηκαν μέχρι να ανακαλύψουν οι γιατροί τι συνέβαινε στο κεφάλι ενός 50χρονου κινέζου με περίεργα νευρολογικά συμπτώματα: ένα παρασιτικό σκουλήκι ταινία σερνόταν μέσα στον εγκέφαλό του. Το περιστατικό είναι σπάνιο, όχι όμως μοναδικό.

Το διαβολικό σκουλήκι και έχει μια μεγάλη ποικιλία ξενιστών σε όλη την τροφική αλυσίδα. Ξεκινά τον κύκλο της ζωής του στο νερό, όπου μολύνει μικρά καρκινοειδή. Αυτά γίνονται στη συνέχεια βορά αμφιβίων ή ερπετών, τα οποία με τη σειρά τους τρώγονται από θηρευτές. Στους συνήθεις ξενιστές το S.erinaceieuropaei προτιμά να ζει στο έντερο. Στον άνθρωπο, όμως, μεταναστεύει σε διάφορες περιοχές του σώματος. Σε κάποιες περιπτώσεις η ταινία βρέθηκε στον εγκέφαλο των ασθενών, σε άλλες περιπτώσεις ζούσε στους πνεύμονες ή κάτω από το δέρμα.
Ο τελευταίος ασθενήςΤο τελευταίο περιστατικό αφορά έναν Κινέζο που ζούσε στο Λονδίνο αλλά ταξίδευε συχνά στη χώρα καταγωγής του, όπου απαντάται το παράσιτο. Απευθύνθηκε στο νοσοκομείο με πονοκεφάλους, επιληπτικές κρίσεις, αλλοιωμένη αίσθηση της γεύσης και της όσφρησης, ωστόσο οι γιατροί αδυνατούσαν να κάνουν διάγνωση.
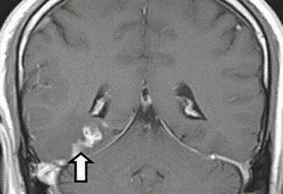
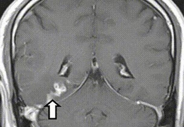
Οι μαγνητικές τομογραφίες αποκάλυψαν μια ανωμαλία στο δεξί εγκεφαλικό ημισφαίριο, ωστόσο η βιοψία που ακολούθησε δεν έδειξε όγκο. Όμως οι μαγνητικές τομογραφίες που ακολούθησαν τα επόμενα τέσσερα χρόνια έδειξαν την ανωμαλία να κινείται σε απόσταση πέντε εκατοστών και να περνά στην αριστερή πλευρά του εγκεφάλου.
Οι χειρουργοί αφαίρεσαν τελικά το σκουλήκι, μήκους ενός εκατοστού, και έστειλαν ένα τμήμα του στο Welcome Trust Sanger Institute στο Κέμπριτζ. Το Ινστιτούτο προχώρησε σε αλληλούχιση ολόκληρου του γονιδιώματος, από το οποίο προσδιορίστηκε το είδος του παράσιτου. Οι ερευνητές υποθέτουν ότι το σκουλήκι ζούσε απορροφώντας λιπαρά οξέα από τον ιστό του εγκεφάλου, ο οποίος είναι ιδιαίτερα λιπαρός. Οι ταινίες πάντως δεν έχουν στόμα, αφού κανονικά ζουν στο έντερο και απλά απορροφούν θρεπτικά συστατικά μέσω του δέρματος.
Γιγάντιο DNAΤο γονιδίωμα του τέρατος,
αναφέρουν ερευνητές του Ινστιτούτου στην επιθεώρηση «Genome Biology», είναι δέκα φορές μεγαλύτερο από ό,τι σε άλλες ταινίες, σχεδόν το ένα τρίτο του ανθρώπινου γονιδιώματος. Η ανάλυση αποκάλυψε μάλιστα αύξηση των γονιδίων που βοηθούν το παράσιτο να μολύνει τα θύματά του. Ισως αυτό εξηγεί γιατί έχει τόσο μεγάλη ποικιλία ξενιστών. Ο Κινέζος ασθενής, τυχερός στην ατυχία του, αναρρώνει στη Βρετανία χωρίς σοβαρά προβλήματα.