12/10/2025
         
Νανά Δημητρίου Πέμπτη, 17 Μαρτίου 2016
Τεχνολογία
+ + -

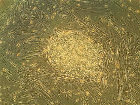
Δημιουργία ανθρωπίνων βλαστικών κυττάρων από μισό γονιδίωμα

 Νέα Υόρκη

 

Επιστήμονες στο Ισραήλ και στις ΗΠΑ δημιούργησαν τα πρώτα ανθρώπινα βλαστικά κύτταρα, τα οποία διαθέτουν μόνο ένα αντίγραφο του ανθρώπινου γονιδιώματος των γονέων αντί για δύο. όπως αναφέρεται στο Nature τα νέα αυτά βλαστοκύτταρα ίσως στο μέλλον να συμβάλλουν μεταξύ άλλων και στην αντιμετώπιση της υπογονιμότητας και του καρκίνου. 

Τα ανθρώπινα κύτταρα θεωρούνται «διπλοειδή», επειδή κληρονομούν δύο ομάδες χρωμοσωμάτων, 23 από την μητέρα και 23 από τον πατέρα (46 συνολικά). Η μόνη εξαίρεση είναι τα αναπαραγωγικά κύτταρα (σπερματοζωάρια και ωάρια) που είναι «απλοειδή», καθώς περιέχουν μόνο 23 χρωμοσώματα. Αυτά τα «μονά» κύτταρα δεν μπορούν να διαιρεθούν και δημιουργούν διπλοειδή κύτταρα, όταν ενώνονται κατά τη διαδικασία της γονιμοποίησης και της δημιουργίας του εμβρύου.

Οι ερευνητές του Εβραϊκού Πανεπιστημίου της Ιερουσαλήμ και του Ιατρικού Κέντρου του Πανεπιστημίου Κολούμπια της Νέας Υόρκης, με επικεφαλής τον Δρ Νισίμ Μπενβενίστι, κατάφεραν να δημιουργήσουν τα πρώτα «μονά» ανθρώπινα κύτταρα, πλην των αναπαραγωγικών, που είναι ικανά να διαιρεθούν και να πολλαπλασιασθούν, παρόλο που διαθέτουν μόνο ένα αντίγραφο του γονιδιώματος (23 χρωμοσώματα).

Οι έως τώρα απόπειρες να δημιουργηθούν εμβρυϊκά βλαστικά κύτταρα με χρήση ανθρωπίνων ωαρίων, είχαν καταλήξει σε διπλοειδή βλαστοκύτταρα. Αυτή τη φορά, οι επιστήμονες πέτυχαν να δημιουργήσουν απλοειδή πολυδύναμα βλαστικά κύτταρα, ικανά να διαφοροποιηθούν σε άλλα κύτταρα (νευρικά, καρδιάς, παγκρέατος κ.α.), παρόλο που διέθεταν μόνο μια ομάδα 23 χρωμοσωμάτων.

«Η έρευνά μας οδήγησε σε ένα νέο τύπο ανθρώπινου βλαστοκυττάρου, που θα έχει σημαντική επίπτωση στην ανθρώπινη γενετική και ιατρική έρευνα. Αυτά τα κύτταρα θα μας βοηθήσουν να κατανοήσουμε επίσης καλύτερα την ανθρώπινη ανάπτυξη και τους λόγους που αναπαράγουμε σεξουαλικά και όχι μόνο από ένα γονέα» εξηγεί ο Δρ Μπενβενίστι. 
 
 
 
news.in

 

 
 
 
 
  Αρχική | Ενότητες | Top Αναρτήσεις | Επικοινωνία  
 
Περίεργα      Υγεία
 
Life Style      Κόσμος
 
Τοπικά