22/03/2026
Αναρτήσεις
Δευτέρα, 8 Απριλίου 2013 - 18:05
Αποκεφαλισμοί δυο γυναικών για μαγεία!
Βασανίζονταν επί τρεις ημέρες....
Κυριακή, 7 Απριλίου 2013 - 16:07
Αστεροειδής έκαψε τη γη πριν από 66 εκατ. χρόνια!!
αφάνισαν το 80% της ζωής
Κυριακή, 7 Απριλίου 2013 - 15:03
Τεχνολογικός γρίφος...ΔΙΣΕΚΑΤΟΜΜΥΡΙΩΝ ετών!!
Τα μυστηριώδη σφαιρίδια
Κυριακή, 7 Απριλίου 2013 - 14:40
Απίστευτο: 13χρονη έχει εδώ και δέκα βδομάδες... λόξυγκα και δεν λέει να σταματήσει!
Βρετανία
Σάββατο, 6 Απριλίου 2013 - 22:39
Αγνωστο μεταλλικό αντικείμενο ηλικίας... 300 εκατομμυρίων ετών!
δεν μπόρεσαν να δώσουν απάντηση στο ερώτημα ποιος κατασκεύασε...
Σάββατο, 6 Απριλίου 2013 - 22:05
Ψάρεψαν σκελετό τεράστιου πλάσματος της θάλασσας!
VIDEO
Σάββατο, 6 Απριλίου 2013 - 20:31
Είδαν το φως να… γέρνει!
δυαδικό σύστημα
Σάββατο, 6 Απριλίου 2013 - 18:39
Αυτή είναι η πιο κοντή γυναίκα στον κόσμο!
Jyoti Amge
Σάββατο, 6 Απριλίου 2013 - 10:20
Επιστήμονες εισέβαλαν στον κόσμο του ονείρου
Ιάπωνες νευροεπιστήμονες ανακοίνωσαν ότι κατάφεραν να «δουν»...
Παρασκευή, 5 Απριλίου 2013 - 23:21
Ένας οργανισμός που εξαπατά τον ίδιο το θάνατο
Ζει... κατά μόνας στα πιο θερμά μέρη...
Παρασκευή, 5 Απριλίου 2013 - 18:15
H απίστευτη ταμπέλα που κρέμασε καταστηματάρχης
Άνω Τούμπα
Παρασκευή, 5 Απριλίου 2013 - 13:11
Ορατή έγινε η μακρινότερη έκρηξη σούπερ-νόβα στο σύμπαν!!
Το φως χρειάστηκε πάνω από δέκα δισεκατομμύρια χρόνια για να φθάσει στη Γη
Παρασκευή, 5 Απριλίου 2013 - 12:48
Τη σκοτεινή ύλη του σύμπαντος υποστηρίζουν ότι ανακάλυψαν επιστήμονες του CERN!
αποτελεί ένα από τα μεγαλύτερα μυστήρια
Πέμπτη, 4 Απριλίου 2013 - 19:55
Πως θα φαίνονταν οι πλανήτες αν ήταν στη θέση της Σελήνης
εντυπωσιακό
Τετάρτη, 3 Απριλίου 2013 - 19:06
Και τα ποντίκια...βήχουν!
Μέχρι πρότινος τα ποντίκια θεωρούντο… σιωπηλά
Τετάρτη, 3 Απριλίου 2013 - 13:48
Απίστευτο! Η Ρωσία κάνει σχέδια αναπαραγωγής γάτων με 5 αυτιά
η ιδέα είναι πολύ ρεαλιστική...
Τετάρτη, 3 Απριλίου 2013 - 12:43
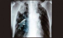
Ψάρι κολυμπούσε μέσα στον πνεύμονα 12χρόνου!
Μπορεί να σας ακούγεται απίστευτο είναι όμως πέρα για πέρα αληθινό!
Τετάρτη, 3 Απριλίου 2013 - 12:15
Βίντεο που δείχνει γυναίκα να έχει κινητό το 1938 [βίντεο]
Σάλος στο Διαδίκτυο
Τρίτη, 2 Απριλίου 2013 - 14:29
Ξέρετε τις πεταλούδες με το νούμερο 88;
«Butterfly 88»
Τρίτη, 2 Απριλίου 2013 - 13:24
Αυτό είναι το πιο σύντομο τραγούδι που κυκλοφόρησε ποτέ!!
Δύο δευτερόλεπτα...!!!
Τρίτη, 2 Απριλίου 2013 - 12:12
O Da Vinci ανακάλυψε πρώτος τα Google Glasses;
Ο Leonardo Da Vinci αν και έζησε τον 15ο αιώνα, ήταν πρωτοπόρος και σκεφτόταν μπροστά
Κυριακή, 31 Μαρτίου 2013 - 22:48
Χάκερ υποστηρίζει πως στη NASA εργάζονται.... εξωγήινοι!!!! (Βίντεο του FOX News)
"Ζουν ανάμεσα μας"?..
Κυριακή, 31 Μαρτίου 2013 - 22:11
Η πιο καυτερή πίτσα του κόσμου… σκέτος δυναμίτης!
πραγματοποιήθηκε από το Πανεπιστήμιο του Γουόργουικ
Κυριακή, 31 Μαρτίου 2013 - 20:41
Κατάστημα χρεώνει 5 δολάρια μόνο για να χαζέψεις!
Ένα φαινόμενο που παρατηρείται...
Κυριακή, 31 Μαρτίου 2013 - 10:24
Προφυλακτικά με γεύση - μορφή και σχήμα μπέικον!!!
«Για να μοιάζει το ... κρέας σας με κρέας»!!!
Κυριακή, 31 Μαρτίου 2013 - 09:18
Πατούσε το ζαμπόν του, με μετεωρίτη αξίας 5 εκατ. ευρώ!!!
Αγρότης στην Ισπανία
Σάββατο, 30 Μαρτίου 2013 - 22:45
Βρέθηκε παιδί υβρίδιο Νεάντερταλ- σύγχρονου ανθρώπου
Ιταλία - Έζησε πριν από περίπου 40.000 χρόνια
Σάββατο, 30 Μαρτίου 2013 - 12:24
Το σπάνιο αυγό του πουλιού-ελέφαντα!!!
Εκατό φορές μεγαλύτερο από ένα φυσιολογικό αυγό
Σάββατο, 30 Μαρτίου 2013 - 11:42
Έχετε ποτέ ονειρευτεί αυτόν τον άνθρωπο;;;
ποιος είναι αυτός ρε παιδιά;
Παρασκευή, 29 Μαρτίου 2013 - 22:30
Η μπύρα των χιλίων ευρώ!
Vieille Bon Secours
Παρασκευή, 29 Μαρτίου 2013 - 16:15
Σελήνη: Και όμως... γυρίζει!
Μπορούμε να δούμε μέχρι το 59% της επιφάνειας του φεγγαριού αλλά ποτέ το υπόλοιπο 41%!
Παρασκευή, 29 Μαρτίου 2013 - 11:48
Τι σχέση έχει η τράπουλα με το χρόνο;
Μεγάλη όπως αποδεικνύεται.
Πέμπτη, 28 Μαρτίου 2013 - 22:00
Απίστευτο: 3χρονο αγοράκι δεν κοιμάται... ποτέ
Ο εγκέφαλος του δεν δίνει την απαραίτητη εντολή
Πέμπτη, 28 Μαρτίου 2013 - 17:40
Ινδία - Μυστηριώδης βολίδα από τον ουρανό τραυμάτισε δύο γυναίκες!
Τα δείγματα από υλικό που συλλέχθηκαν...
Τετάρτη, 27 Μαρτίου 2013 - 17:52
ΑΝΑΛΥΘΗΚΕ Η ΠΡΩΤΗ ΕΞΩΠΛΑΝΗΤΙΚΗ ΑΤΜΟΣΦΑΙΡΑ - ΕΡΕΥΝΑ ΓΙΑ ΕΞΩΓΗΙΝΗ ΖΩΗ
οι φασματογράφοι έπιασαν δουλειά
Τετάρτη, 27 Μαρτίου 2013 - 09:52
Μανδύας αορατότητας από θαυματουργό υλικό «εξαφανίζει» αντικείμενα
ερευνητές από το Πανεπιστήμιο του Τέξας στις Ηνωμένες Πολιτείες
Τετάρτη, 27 Μαρτίου 2013 - 09:44
Καλαμάρι κατάπιε ενεργή βόμβα
Εξουδετερώθηκε από πυροτεχνουργούς
Τρίτη, 26 Μαρτίου 2013 - 22:58
Επιστήμονες «ανέστησαν» βάτραχο (video)
έχει εξαφανιστεί επισήμως από το 1983
Τρίτη, 26 Μαρτίου 2013 - 22:51
Κοτόπουλο με πατέρα πάπια γεννήθηκε στο εργαστήριο
Ερευνητές του Κεντρικού Ερευνητικού Εργαστηρίου Κτηνιατρικής στο Ντουμπάι
Τρίτη, 26 Μαρτίου 2013 - 22:09
Βρέθηκε καρχαρίας με δύο κεφάλια
ΗΠΑ
Σελίδα 43 από 96 (3840 αντικείμενα)
1
2
3
…
42
[43]
44
45
…
94
95
96
Ανάγνωση…
Εισαγωγή Αφαίρεση Σχολών
Ανάγνωση…
Προσθήκη Νέων Δημοσιεύσεων
Προσθήκη Δημοσίευσης
Αρχική
|
Ενότητες
|
Top Αναρτήσεις
|
Επικοινωνία
info@nasepo.gr
Αθλητικά
Διάφορα
Πολιτικά
Οικονομία
Αστεία
Τεχνολογία
Περίεργα
Υγεία
Life Style
Κόσμος
Τοπικά